Dental pain and oral injuries rarely happen at convenient times. Whether it is sudden discomfort during dinner or an accident on the weekend, knowing when to seek care can protect your smile and prevent more serious complications. At The Local Dentist, we provide prompt, professional care for patients who need an emergency dentist in Bellingham.
This quick guide explains when to call for urgent treatment and what to do next.
Not every dental concern requires same-day care. However, certain symptoms should never be ignored.
Ongoing tooth pain often signals infection or nerve involvement. If discomfort lasts more than a day or disrupts your daily life, it is time to seek professional care. In many cases, treatment such as surgery may be necessary to relieve pain and save the tooth.
Swelling can indicate a developing infection. When left untreated, infections may spread and require more complex intervention. Immediate evaluation allows us to stabilize the issue and protect your oral health.
If a tooth is knocked out, quick action is essential. Rinse it gently without scrubbing and keep it moist in milk or saliva while heading to our office. In some cases, we can successfully reposition and stabilize the tooth during an urgent visit.
If replacement becomes necessary, we also provide long-term solutions such as dental implants to restore function and appearance.
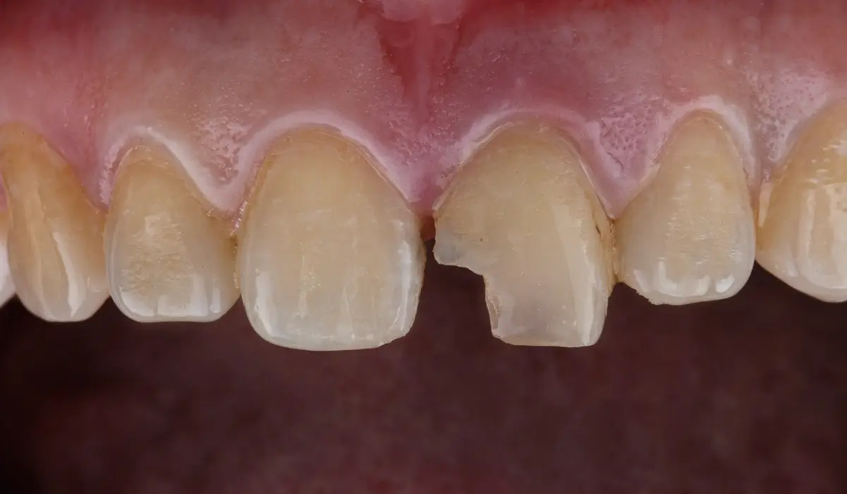
Fractures expose the inner structure of the tooth and increase the risk of infection. Depending on severity, treatment may involve bonding, crowns, or other restorative dentistry services.
Bleeding that does not stop after applying gentle pressure for 10 to 15 minutes should be evaluated immediately. Trauma to soft tissue or underlying structures requires prompt professional attention.
Related: How to Find a Reliable Bellingham Emergency Dentist When You Need One

Some issues may be addressed during a scheduled visit, including:
If you are unsure whether your situation requires urgent care, contacting our team is always the safest choice. If you have questions, check this resource out.
When you call The Local Dentist, we prioritize urgent cases and aim to offer same-day appointments whenever possible.
During your visit, you can expect:
We review your symptoms, medical history, and conduct a detailed exam using advanced imaging technology.
Our primary goal is to relieve discomfort and stabilize the issue. Depending on your condition, treatment may include fillings, extractions, temporary restorations, or emergency procedures.
We explain treatment options and costs before moving forward. You can learn more about our full range of services on our Bellingham dental office website.
Related: What to Expect from an Emergency Dentist in Bellingham, WA

Delaying care can turn a manageable issue into a more serious problem. Early treatment often means simpler procedures, lower costs, and better long-term outcomes.
If you are searching for an urgent dentist in Bellingham, our team is prepared to provide efficient, compassionate care when it matters most.